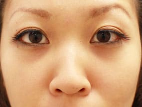
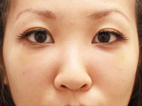
このモニター症例では、「脱脂ダブルリポ法」が適応となるケースが、もしも、目の下のクマやタルミの解消を目的として「経結膜脱脂法」だけを行なった場合、どのような仕上がりとなり、「脂肪注入」まで行なったらどのような仕上がりとなるかを、ご覧頂いている皆様にもお分かりいただきやすいように、あえて最初に「経結膜脱脂」を行い、その後、「脂肪注入を行い、その経過を確認いただけるようにしております。
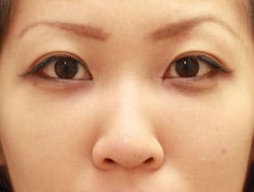
「経結膜脱脂」のみ行なうよりも、脂肪注入まで行う脱脂ダブルリポ法の方が良好な結果が得られていることがお分かりいただけると思います。
















































ご相談・ご予約それぞれに対応した専用メールフォームをご用意しております。
画像診断は、撮影した画像をお送りいただければ、治療方針や治療費用など事前にアドバイスさせて頂いております。
24時間受付で、24時間以内に返信メールをお送りさせて頂いております。
お気軽にご連絡・ご利用下さい。全て無料で対応しております。
また、ご入力いただく情報は暗号通信SSLに対応しておりますので第三者に読み取られることもございませんので安心してご利用いただけます。
